PARASITOS
CHILOMASTIX MESNILI
Es un protozoo flagelado perteneciente al orden Retortamonadida que
parasita el tracto digestivo de humanos y otros primates. Suele presentar un
tamaño inferior a 20 μm. Carecen de
ciertos orgánulos como son las mitocondrias y
el aparato de Golgi. Únicamente tiene un hospedador (monoxeno),
es cosmopolita y tiene dos formas de vida en su ciclo vital:
Trofozoíto
Presenta un tamaño en torno
a 15 μm de longitud y una morfología piriforme. Posee 4 flagelos, uno de
ellos, más corto, asociado al citostoma, zona especializada a través de la
cual obtiene el alimento, y los otros 3, en la zona anterior, asociados a una
función de motilidad. Tiene un único núcleo que se dispone en la zona
anterior, cerca del punto de inserción de los flagelos. El Trofozoíto es la
forma vegetativa que se alimenta y se reproduce.
Quiste
Presenta un tamaño en torno
a 10 μm de longitud y una morfología ovalada. No presenta flagelos ni
citostoma, aunque se pueden llegar a apreciar restos de estas estructuras como
los axonemas intracitoplasmático. Tiene un único núcleo que se dispone más o
menos en la zona central. El quiste es la forma vegetativa infectante y de
resistencia. Alimentación por fagocitosis, a través del citostoma, de
partículas del tracto digestivo. Reproducción por división binaria
longitudinal. No presentan reproducción sexual.
Ciclo
vital e infección
Vive
como comensal en el intestino grueso tanto del ser humano como
de otros primates. Puesto que presenta un único hospedador, su ciclo vital es
directo y tiene lugar a través de los quistes, que son eliminados por
las heces y ya presentan capacidad infectiva. Cuando dichos quistes
son ingeridos por un nuevo hospedador, los quistes llegan al intestino grueso
donde generan Trofozoíto que se alimentan y reproducen, dando lugar a nuevos
quistes y cerrando así su ciclo vital.
Patogenicidad
C. mesnilis está
considerado como un parásito a patógeno, ya que no causa ningún tipo de
dolencia, a excepción de ciertas diarreas debidas a la irritación de
la mucosa intestinal cuando aumentan de forma considerable los
niveles de parasitemia.
Epidemiología
Se estima que en torno al
5-10% de la población mundial se encuentra infectada por este parásito.
CAPILLARIA
HEPÁTICA
Es un nematodo parásito que
provoca capilariasis hepática en roedores y numerosas otras especies de
mamíferos, incluyendo los seres humanos. El ciclo de vida de C. hepática se
puede completar en una sola especie huésped. Sin embargo, los huevos, que
se colocan en el hígado, deben madurar fuera del cuerpo principal (en el
entorno) antes de infectar a un nuevo huésped. Así que la muerte del huésped en
el que los adultos alcanzan la madurez sexual, ya sea por siendo comido o morir
y descomposición, es necesario para la finalización del ciclo de vida.
Morfología
Existen los huevos en el
hígado en un estado de desarrollo detenido - no son capaces de convertirse en
larvas hasta que pasan algún tiempo fuera del huésped, en el medio ambiente. Escapando
de los tejidos del hígado puede ser llevado a cabo por la muerte y la
descomposición del cuerpo del anfitrión, o por el consumo y la digestión de la
máquina por un depredador o carroñero. En el medio ambiente, los
huevos necesitan 4-5 semanas para desarrollarse y pueden permanecer viables en
estado latente durante varios meses más. Una vez que estos huevos
"ambientalmente acondicionado" son comidos por un huésped adecuado,
el primer estadio larval (L1) escotilla en el intestino y continuar con el
ciclo de la vida. Los seres humanos suelen infectarse al ingerir huevos
embrionados en los alimentos contaminados con heces, el agua o el suelo.
Patogénesis
y supervivencia en el huésped
Las infecciones de C.
hepática pueden presentar varios síntomas clínicos incluyendo:
- v dolor abdominal en el área del hígado
- v pérdida de peso.
- v disminución del apetito.
- v fiebre y escalofríos.
- v hepatitis (inflamación del hígado).
- v ascitis (exceso de líquido en la cavidad peritoneal).
- v hepatolitiasis (cálculos biliares en los conductos biliares).
Este parásito puede ser
fatal en los seres humanos, como la transmisión y la supervivencia del parásito
depende de la muerte del huésped definitivo para que los huevos para
llegar a suelo y el agua a embrionados.
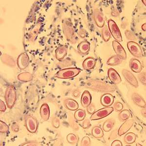
Diagnóstico
El diagnóstico se realiza
mediante la búsqueda de los huevos o los adultos de C. hepática en
el tejido hepático de biopsia o necropsia muestras. Los huevos
encapsulados y los adultos pueden aparecer como nódulos blancos que miden 2 a 3
mm de diámetro en la superficie y el interior del hígado en la autopsia.
Características de identificación básica de este parásito son una cáscara estriada
y prominencias polares poco profundas del huevo y un estrechamiento en el
extremo anterior y la hinchazón gradual en el extremo posterior del gusano
adulto. Identificación de los huevos de C. hepática en las heces no es
resultado de la infección del huésped humano, pero a partir de la ingestión por
esa cantidad de hígados de animales infectados, los huevos pasarán entonces a
cabo sin causar daño en las heces.
Tratamiento
- v El fármaco de elección para el tratamiento de Capillaria hepática es:
- v mebendazol
- v albendazol como alternativa.
- v El éxito del tratamiento de casos humanos con Tiabendazol o albendazol
- v Albendazol debe tomarse con alimentos porque una comida grasa aumentará la biodisponibilidad del fármaco.
- v Dos formas de prevenir C. hepática infecciones son los seres humanos sería instituir programas eficaces de control de roedores y perros y gatos evitando al comer.







como puedo descargarlo esta informacion es una tarea que me dejo y nesesito descargra para qe revise el docente de donde y saque eel resumen
ResponderBorrar